


Periodontoloji diş hekimliğindeki bilim dallarından biri olup, dişeti hastalıklarını teşhis eden, önleyen ve tedavi eden diş hekimliği uzmanlık alanıdır. Kelime anlamı olarak Latincede, peri= çevre, odonto = diş, loji=bilim demektir.
Periodontoloji, dişleri destekleyen, maksillada (üst çene kemiği) ve mandibulada (alt çene kemiği) konumunu koruyan sert–kemik ve yumuşak- diş eti dokularını bütün olarak kapsar. Periodonsiyum adı verilen bu doku grubunun içinde alveol kemiği (dişlerin içinde bulunduğu çene kemiği bölümü) , kök, dişleri alveol kemiğe bağlayan periodontal ligamentler ve diş etinden oluşur.
Dişler alveol kemiğinin içindedir ve diş kökünü kaplayan periodontal bağ doku (periodontal ligamentler) tarafından desteklenir. Bu canlı diş çevresi dokular, ağızdaki farklı değişikliklere uyum sağlayarak dişlerin konumunu stabil bir şekilde korumalarına olanak sağlar.
Periodonsiyumun (diş eti dokularının) esas görevi fonksiyonu, dişleri kemik içindeki tutarak, çiğneme sırasında aşırı kuvvet aldıklarında dişlerin zarar görmesini önleyen bir tampon görevi görür. Diş çevresi dokular (periodonsiyum) ve dişler, çiğneme sırasında kendilerini zararlı kuvvetlerden korumak ve uygun fonksiyonu sağlamak için uyum içinde çalışırlar .
Bir hastanın ağız sağlığı genellikle genel sağlığı ile ilişkilidir ve özellikle diş etlerinin sağlıklı olup olmaması, hastanın sistemik genel durumu hakkında bilgi verir. Sistemik hastalıklar (şeker hastalığı, sigara- alkol kullanımı, kalp rahatsızlığı vb.) dişleri destekleyen dokuları doğrudan etkileyebilir. Bazı patolojiler (hastalık) vücudun herhangi bir yerinde görülmeden önce ağızda tespit edilebilmektedir.
PERİDONTAL TEDAVİLER
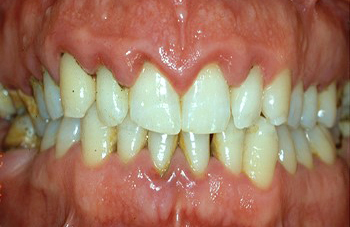
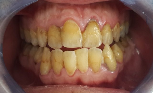
Periodontal hastalıklar toplumda çok yaygındır ve periodontal (diş eti) dokularının iltihaplanmasının bir sonucudur. Dişeti iltihabı = Gingivitis, dişlerde ve dişetlerinde bakteri birikmesi nedeniyle diş etlerinin inflamasyonudur.
Diş eti iltihabı genellikle tüm bireylerde yaşam boyunca en az bir kez görülmektedir. İltihap yani enflamasyon insan vücudunun patojenik (hastalık yapıcı) bakterilere karşı savaşmak zorunda olduğu ancak doğru tedavi edilmediğinde ise dokularda hasara yol açabilen bir savunma mekanizmasıdır.
Bu enflamasyon diş etlerinden daha derin dokulara yayılarak periodontal ligamenti ve alveol kemiğinde yıkıma sebep olur ki bu tablonun ismi periodontitisdir.Periodontitis kelime anlamı olarak periodontal dokuların iltihabıdır ve dişeti iltihabı = Gingivitis’e göre daha şiddetlidir.
Bu durum dişlerin çevresinde bulunan kemik desteğinin kaybolmasına ve hatta daha ileri evrelerde dişlerin sallanarak kaybedilmesine sebebiyet verir.
PERİODONTİTİS TEDAVİSİ
Periodontitis tedavisinde, patolojik süreci hızlandıran dişlerin yüzeyinde yapışık halde bulunan bakteri plağını ortadan kaldırmak ve optimum ağız hijyeni alışkanlıklarını oluşturmak esastır
Bu nedenle, periodontal tedavinin ilk adımı, hastanın bilinçlendirilmesi ve ağız hijyeni eğitimi verilmesinden oluşur.
Bu ilk aşamada, hastanın ağız hijyenine yeterince uyduğundan emin olmak çok önemlidir. Hastanın diş fırçası, diş ipi ve arayüz fırçası gibi kendinin kullandığı temizlik araçları ile erişemeyeceği bölgelerdeki diş taşı ve bakteri plağını ortadan kaldırmak çok önemlidir. Bazı vakalarda profesyonel tedaviye rağmen dokulardaki enfeksiyon devam edebilir, bu durumlarda tedaviye ek olarak antibiyotik tedavisi önerilir.
Bu ilk aşamadan birkaç hafta sonra hastanın periodontal sağlığı, hijyeni ve hastalığın ilerleyişi kontrol edilir. Periodontal cep (diş eti ve kemiği yok etme yeteneğine sahip bakterilerin bulunduğu boşluk), adı verilen dişeti ile alveolar kemik arasındaki boşluğun derinliğini kontrol etmek için sondalama yapılır.
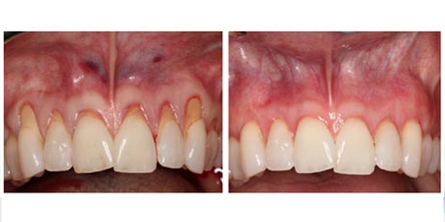
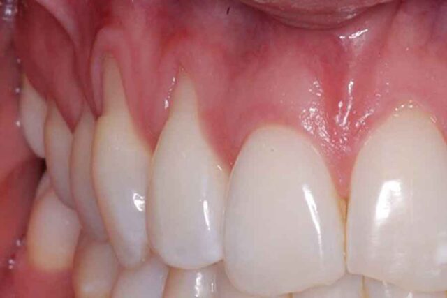
Bu derinlik ne kadar fazla ise hastalık o kadar ilerlemiş durumdadır ki bu derinlik dokulardaki yıkım ile doğru orantılıdır Periodontal cep mevcudiyetinde dişeti kaldırılarak flap operasyonu yani dişeti ameliyatı yapılması gereklidir. Dişeti ameliyatı ile, dişeti altındaki istenilen bölgelere ulaşılır ve detaylı temizlik yapılabilir. Bu ameliyat ile doğrudan bir görüşe sahip olunur ve ilgili alanın tamamen temiz olduğundan emin olunmasını sağlar.
Dişeti ameliyatından (flap operasyonu) başka periodontitisin oluşturduğu kemik defektlerini eski haline getirebilmek için kemik kaybının tedavi edildiği ve rejeneratif (tekrardan oluşturma) ameliyatların yapılması uygundur. Rejenerasyon ameliyatlarında greft (kemik tozu) ve membran gibi biomateryaller kullanılmaktadır.
Sonuç olarak, periodontal tedavinin başarısı, hekimin tecrübesine ve hastanın ağız hijyeni sağlama kapasitesine bağlıdır.
Periodontal tedavilerde kontrol seansları hastalığın kontrolü ve ilerlememesi için çok önemlidir. Recall olarak isimlendirilen kontrol seansları, periodontal tedavi ile elde edilen sonuçların devamlılığı için oldukça önemlidir ve hastalığın tekrarlamamasını sağlar.