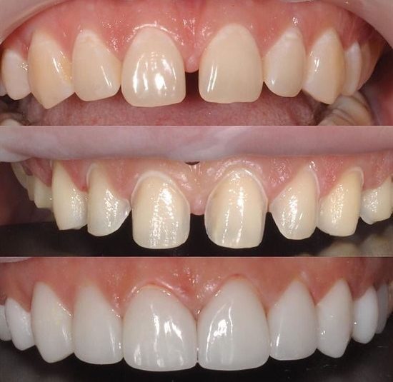
Lamine ( yaprak porselen ) diş nedir ?

Tanımı
- Lamine dişler, ön dişlerin ön yüzeyine yapıştırılan çok ince, özel üretilmiş porselen ya da seramik kabuklardır.
- Aslında “veneer” terimi altında değerlendirilen bu uygulamada, “laminate” ya da “yaprak porselen” adlandırması çok daha ince ve minimal hazırlık gerektiren veneer tipleri için yaygındır.
- Dişin tamamını kaplayan kronlardan farkı olarak, sadece ön yüzeyine ve bazen kenarlarına sınırlı kapsama sahiptir.
Kimler için uygundur?
Lamine diş uygulaması aşağıdaki durumlarda tercih edilebilir:
- Dişlerde renklenme, lekelenme varsa ve diş beyazlatma yeterli olmuyorsa.
- Diş şekli kötü, küçük, kırık ya da aşınmışsa.
- Dişler arasında küçük boşluklar (diastema) varsa.
- Hafif çapraşıklık, estetik uyumsuzluk varsa (ortodonti gerektirmeyen düzeyde).
Ancak unutulmamalıdır: bu uygulama restoratif ihtiyaçtan ziyade estetik amaçlıdır. Dişin kökünde ciddi çürük, büyük hasar varsa ya da ısırma/temas problemleri varsa farklı tedaviler gerekebilir.
Uygulama süreci
Genel hatlarıyla şu adımlar izlenir:
- Diş hekiminizin muayenesi ve uygunluk değerlendirmesi. Bu aşamada dişin yapısı, diş eti durumu, occlusion (dişlerin kapanışı) incelenir.
- Gerekirse ön hazırlık: çok ince laminatlar için bazen dişin ön yüzeyinden çok az(minimal) madde alınması gerekebilir; bazı “no-prep” laminatlar ise çok az ya da hiç madde alınmadan yapılabilir.
- Dişlerin ölçüsü alınır (kalıp ya da dijital tarama). Laboratuvarda hastaya özel ince porselen kabuklar hazırlanır.
- Hazırlanan kabuklar dişe yapıştırılır (bonding işlemiyle). İdeal yapışma ve estetik sonuç için uygun yapıştırıcı sistemleri kullanılır.
- Gerekirse rötuş/son düzeltmeler yapılır ve hasta bakım önerileriyle takibi sağlanır.
Lamine dişlerin ömrü ve bakım
- Malzeme kalitesi, diş hekiminin tekniği, ağız hijyeni ve kapanış fonksiyonu gibi faktörler ömrü belirler. Uzun süreli çalışmalar göstermiştir ki iyi seçilmiş vakalarda laminatlar birçok yıl iyi fonksiyon gösterebilir.
- Bakım olarak:
- Düzenli diş hekimi kontrolleri,
- Günlük fırçalama ve diş ipi kullanımı,
- Aşındırıcı diş macunlarından kaçınma,
- Sert veya yapışkan yiyeceklerden dikkatli olma,
- Bruksizm varsa gece plağı ( gece koruyucu ) kullanımı önerilir.